Lexington, Mass., March 20, 2024 (GLOBE NEWSWIRE) -- FUJIFILM Healthcare Americas Corporation, a leading provider of endoscopic imaging and endosurgical solutions, received 510(k) clearance for CAD EYE, the company’s novel AI detection system for endoscopic imaging. CAD EYE® enables real-time detection of colonic mucosal lesions such as polyps and adenomas during colonoscopy procedures, supporting endoscopists in their ability to detect and remove pre-cancerous lesions, regardless of size, shape and color.
Consisting of a compatible expansion unit (the Fujifilm EX-1) and endoscopy support software (EW10-EC02), CAD EYE is an evolution of Fujifilm’s ELUXEO® Endoscopic Imaging System, featuring AI image processing functionality customized for the integration with the system’s processor and the endoscope. It was developed using deep learning technology in Fujifilm’s Tokyo-based global AI technology center and validated in several studies using histologically confirmed polyps in clinical images obtained through Fujifilm state-of-the-art endoscopy systems.1,2
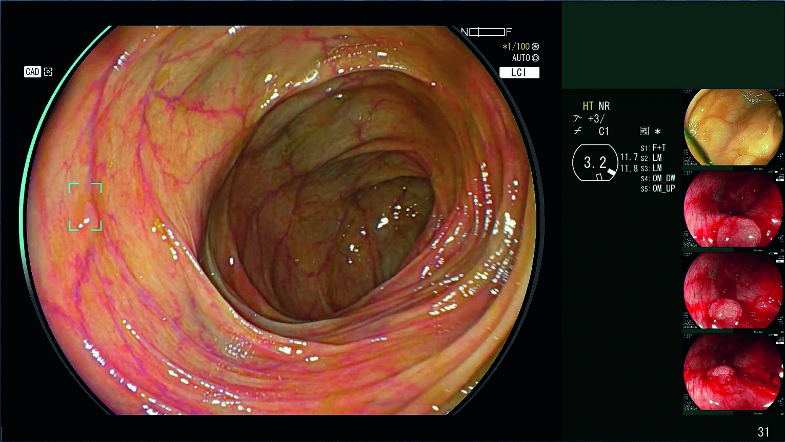
This technology is designed to support detection of lesions that may be easiest to miss, such as flat lesions, those at the corner of the endoscopic view, and multiple lesions present in a single frame. When a suspicious polyp is detected by CAD EYE, the physician is automatically given both visual and auditory alerts: a “Detection Box” appears, a “Visual Assist Circle” illuminates in the area, and an alert is sounded, which can be adjusted per the user’s preferences. The visual cues are overlaid on top of – but do not interfere with – clinical images in the physician’s existing workflow.
“Colorectal cancer is the second leading cause of cancer deaths in U.S. women and men combined,3 despite screening – primarily colonoscopy – being one of the most reliable and effective methods for cancer prevention and early intervention,” says Tai Fujita, general manager, endoscopy, FUJIFILM Healthcare Americas Corporation. “Every day we pride ourselves on delivering what we believe is the highest quality imaging and optics, arming endoscopists with the tools they need to combat this public health issue. Today, we’re thrilled to take that a step further with the introduction of CAD EYE, which has the potential to dramatically improve the quality of colonoscopy.”
Studies indicate CAD EYE can lead to considerable advances in colorectal cancer detection and diagnosis4 as it:
- Detects significantly more adenomas during screening and surveillance compared to conventional high-definition colonoscopy without AI assistance, without any increase in procedure time,4
- 17% higher adenoma per colonoscopy (APC) compared to high-definition convectional colonoscopy, 4
- Detects colorectal neoplastic lesions at a level comparable to that of an expert and superior to that of a beginner.5,6
“As a gastroenterologist dedicated to patient care and safety, I'm heartened by the FDA's approval of Fujifilm's AI CAD polyp detection algorithm,” says Sravanthi Parasa MD FASGE, Gastroenterology, Swedish Medical Center. “This breakthrough not only enables the early detection of precancerous lesions that can lead up to colorectal cancer but also significantly reduces the risk of missed lesions, enhancing our precision and improving patient outcomes. It marks a pivotal advancement in our ability to safeguard patient health, reinforcing our commitment to embracing technological innovations in gastrointestinal healthcare.”
CAD EYE can be utilized with both White Light Imaging as well as Linked Color Imaging (LCI®), Fujifilm's enhanced visualization mode that differentiates the red color spectrum to enhance mucosal visualization. LCI is clinically proven to improve visualization, detection, and documentation of colonic polyps.6,7,8 Both CAD EYE and LCI can be launched at the touch of a button, either on the endoscope handle or the processor unit.
CAD EYE will be commercially available this spring 2024 following the completion of a limited market evaluation. To learn more about CAD EYE, click here.
- Neumann H et al. 2021. PLoS One 16(8):e0255955, PMID: 34437563.
- Weigt J et al. 2022. Endoscopy 54(2):180-184, PMID: 33494106.
- https://www.cancer.org/cancer/types/colon-rectal-cancer/about/key-statistics.html
- Desai M et al. 2023. Desai M et al. 2024. Am J Gastroenterol, PMID: 38235741.
- Misumi Y et al. 2023. J Clin Med 12(14):4840, PMID: 37510955.
- Rondonotti et al. 2022. Endoscopy 54(12):1171-1179, PMID: 35545122.
- Yoshida N et al. 2017. Endosc Int Open 5(6):E518-E525, PMID: 28596985.
- Suzuki S et al. 2023. Clin Gastroenterol Hepatol 21(6):1493-1502.e4, PMID: 36328306.
CAD EYE, ELUXEO and LCI are registered trademarks of FUJIFILM Corporation in various jurisdictions.
About Fujifilm
FUJIFILM Healthcare Americas Corporation is a comprehensive healthcare company that has an extensive range of technology and expertise in the detection, diagnosis and treatment of diseases. Fujifilm’s innovative medical imaging portfolio includes solutions for digital radiography, mammography, CT, MRI, ultrasound, gastroenterology, pulmonology, endosurgery, and minimally invasive surgery. The award-winning Synapse® Enterprise Imaging portfolio provides healthcare professionals with the cross-departmental imaging and data access needed to deliver a complete patient record. Fujifilm’s AI initiative, REiLI®, combines Fujifilm’s rich image-processing heritage with cutting-edge innovations to inspire clinical confidence and combat burnout. The In-Vitro Diagnostic portfolio provides the gold standard of molecular based immunoassay technology for liver surveillance, cutting edge clinical diagnostic chemicals for leading laboratories and diagnostic chemicals for OEM white labelling products. The company is headquartered in Lexington, Massachusetts. Click here for more information.
FUJIFILM Holdings Corporation, Tokyo, leverages its depth of knowledge and proprietary core technologies to deliver “Value from Innovation” in our products and services in the business segments of healthcare, materials, business innovation, and imaging. Our relentless pursuit of innovation is focused on providing social value and enhancing the lives of people worldwide. Fujifilm is committed to responsible environmental stewardship and good corporate citizenship. For more information about Fujifilm’s Sustainable Value Plan 2030, click here. For the year ended March 31, 2023, the company had global revenues of approximately 2.9 trillion yen (21 billion USD at an exchange rate of 134 yen/dollar). For more information, please visit: www.fujifilmholdings.com.
Attachment

Danielle Brown FUJIFILM Holdings America Corporation 9145743273 danielle.brown@fujifilm.com
